Globira Medical Services Pvt. Ltd.

    Best Medical Service at home   Best Nursing Service at home   Best vaccination service at home
Logo
Buy Membership

Online Payment

Print Receipt

  • Home
  • About Us
  • Our Services
    • Aesthetic Medicine/ Cosmetology
    • Ambulance Services
    • Ante Natal Care
    • Dermatologists-Skin and VD
    • Doctors Visits at Home
    • Doctor Consultation (Online)
    • Dietitians & Nutritionists
    • Diabetes
    • Dentist
    • Elder care at Home
    • Gynaecologist
    • Health Checkup at Home
    • Lab Tests
    • Medicine service at Home
    • Migraine Service
    • Mother and Baby Care
    • Nursing at Home
    • Pain Services
    • Physiotherapy
    • Psychiatrist/ Neuropsychology
    • Placenta Service
    • Post Natal Care
    • Post Operative Care
    • Urology
    • Vaccination Care
  • Buy Membership
  • Buy Health Packages
  • Buy Nursing Services
  • Buy Physiotherapy Services
  • Medical Camp
  • Contact Us

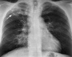
Chest and Tuberculosis (TB)


TB is caused by the bacterium Mycobacterium tuberculosis (M tuberculosis). TB is contagious. This means the bacteria is easily spread from an infected person to someone else. You can get TB by breathing in air droplets from a cough or sneeze of an infected person. The resulting lung infection is called primary TB.

TB can affect any organ system, although manifestations are most commonly related to the chest. The lungs are the most common and often the initial site of involvement. Chest involvement is most commonly pulmonary, followed by lymph nodal and pleural disease (latter two are included under EPTB). Chest wall, cardiac, breast, and skeletal involvement can also occur in the thorax.

Tuberculosis (TB) is a disease caused by bacteria that are spread through the air from person to person. If not treated properly, TB disease can be fatal. People infected with TB bacteria who are not sick may still need treatment to prevent TB disease from developing in the future. Learn to recognize the symptoms of TB disease and find out if you are at risk.

Symptoms

Regular checkups are important to monitor your child’s growth and development and can help your doctor identify any problems early on. At a well-child visit, your pediatrician will address all health care and developmental questions and concerns you may have about your child. Regular well-child visits are scheduled at:

The primary stage of TB does not cause symptoms. When symptoms of pulmonary TB occur, they can include:

• Breathing difficulty
• Developmental Assessments
• Chest pain
• Cough (usually with mucus)
• Coughing up blood
• Excessive sweating, especially at night
• Fatigue
• Fever
• Weight loss
• Wheezing

The goal of treatment is to cure the infection with medicines that fight the TB bacteria. Active pulmonary TB is treated with a combination of many medicines (usually four medicines). The person takes the medicines until lab tests show which medicines work best.

In most Hospital, only active TB is treated due to lack of resources. In Globira Medical Services, you can also choose treatment to reduce your risk of developing active TB, which can affect your academic and life goals.

All of our doctors are fully trained and board-certified. Our mission is to provide quality health care to patient and an understanding of health issues.





SERVICES AT HOME

 Health Checkup

 Cholesterol Tests

 Lab Tests

  X-Ray Services

 Ambulance Services

 Vaccination

 Home Nursing

 Medicine at Home

 24X7 Support

 View online medical record




Globira Medical Services Pvt. Ltd.

  • Aesthetic Medicine/ Cosmetology
  • Diabetes
  • Migraine Service
  • Post Natal Care
  • Ambulance Services
  • Dentist
  • Mother and Baby Care
  • Post Operative Care
  • Ante Natal Care
  • Elder care at Home
  • Nursing at Home
  • Urology
  • Dermatologists
  • Gynaecologist
  • Pain Services
  • Vaccination Care
  • Doctors Visits at Home
  • Health Checkup at Home
  • Physiotherapy
  • Doctor Consultation (Online)
  • Lab Tests
  • Psychiatrist/ Neuropsychology
  • Dietitians & Nutritionists
  • Medicine service at Home
  • Placenta Service
  • Medical Camp
  • Career
  • Certificates
  • Team Management

© Copyright 2024 - 2025| All right reserved Globira Medical Services Pvt. Ltd.